治療中も目立たない
透明マウスピース矯正で
理想の美しい歯並びへ
矯正治療実績
症例以上
2007年〜2025年
日本矯正歯科学会
常駐クリニック

院長|今井 利明
抱える方にご好評
頂いております





「どこも同じ!」
だと思っていませんか?
当院では矯正歯科医師が常勤しているので、歯科医師の出勤予定に合わせた治療行為ではなく、患者さん一人ひとりの治療効果を考えた治療回数や予約日を第一に考えております。又何か不具合が起きてもすぐに対応をとれる体制にしております。(土日祝は混み合っている場合がございます。)

近頃はマウスピース矯正を比較的に簡単に採用する歯科医院が増えていますので、マウスピース矯正の治療受ける前には、あらゆることを踏まえて検討されることをおすすめします。

当院は、経験豊富な矯正専門医が数多く問診し、詳しくお話をお聞きして、その人に適した治療方法を提供するクリニックです。




治療中に気になることがあっても
LINEや当院アプリで状況確認しています
当院は2,000件以上の実績を持ち
矯正認定医が常駐する
矯正専門クリニックです
他院とは異なり、初診相談の為の問診(質問)を多く設定しておりますが、患者さんひとりひとりに合わせた診察ができるようにするためです。面倒に感じられるかとは思いますが、できるだけ細かくご回答をお願い致します。
4
Point 01

Point 02

Point 03

Point 04

ここが違う01
ここが違う02
ここが違う03
ここが違う04
ここが違う05
ここが違う06
ここが違う07
ここが違う08

今井歯科クリニックでは矯正治療の80%がマウスピース矯正です。当院のマウスピース矯正治療は、矯正治療効果が高いだけでなく、患者さんの最適な治療期間を考えた総合的な観点によるものです。
※適切な装置の取り扱いができない場合は、マウスピース矯正をお勧めしません。
動画で見る!!
これだけキレイに矯正されるよ!
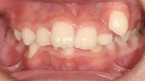
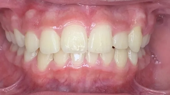
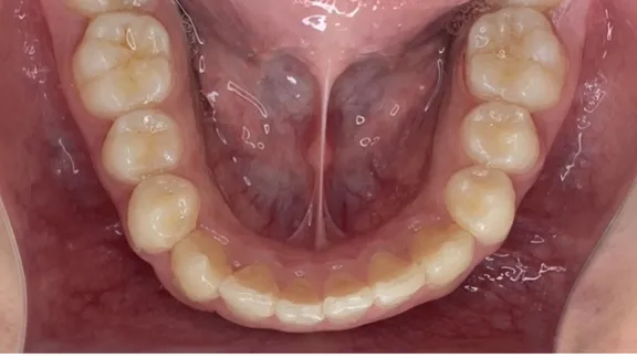
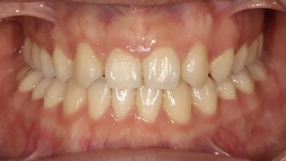
お悩みの方に向けて、治療の一例を紹介させていただきます。
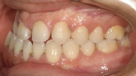
マウスピース矯正
お悩み
歯のでこぼこが気になるので綺麗にしたい。装置はWire矯正を考えている。






治療期間1年7ヶ月
きちんと装置使って頂くことで上と下のガタガタもとれ、真ん中もあって綺麗になりました。
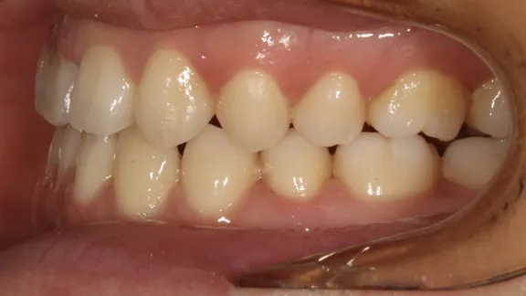
マウスピース矯正
お悩み
家族が歯並びを気にしている。歯は抜かずに矯正したい。






治療期間3年0ヶ月
歯の移動距離が長かったので治療期間が長くなりましたが、マウスピースのみで治療を終えることができました。
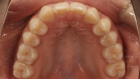
マウスピース矯正
お悩み
すきっ歯が気になる。歯が生えてこない。受け口が気になる。






治療期間2年2ヶ月
隙間が空いていた部分は後戻りが出やすい傾向があり、一度開いた隙間は再治療になる可能性が出てきてしまいます。そうならないようにリテーナーの使用をお願いしました。
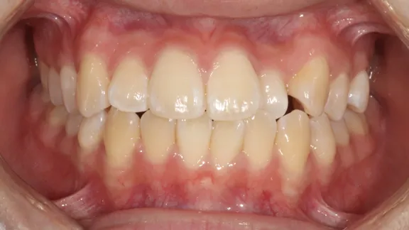
マウスピース矯正
お悩み
マウスピース矯正希望。上下の歯がでこぼこしているのが気になる。抜歯は必要であればしてもよい。






治療期間1年9ヶ月
途中留学もありましたが、その場合マウスピース矯正の方がトラブルが少なく来院間隔も比較的空けられるので、予定通りの治療期間で治療が終えることができました。
当院では矯正治療を行う全ての患者様に対して矯正精密検査を行い治療方針を決定致します。治療計画、治療結果及び治療期間については患者さんの装置の使用状況や治療に対する協力度、歯の動きやすさ、歯並びの状況により異なります。
矯正治療の副作用並びにリスクう蝕、歯肉炎、歯周炎、歯根吸収、歯肉退縮 その他のリスクについてはこちらをご参照ください。
当院は2,000件以上の実績を持ち
矯正認定医が常駐する
矯正専門クリニックです
他院とは異なり、初診相談の為の問診(質問)を多く設定しておりますが、患者さんひとりひとりに合わせた診察ができるようにするためです。面倒に感じられるかとは思いますが、できるだけ細かくご回答をお願い致します。
私はワイヤー矯正の経験者です。中学生の頃に4本の抜歯とワイヤーの痛みに耐え、綺麗な口元を手にしました。
その経験がきっかけで、東京歯科大学で矯正学を専攻した後、最新のマウスピース矯正を専門とするためにアメリカへ留学しました。
クリニックを開業する前から、いち早くマウスピース(インビザライン)矯正を導入し現在まで多くの患者さんの治療にあたってきました。近年はマウスピース矯正に関する講義を行うことも増えています。
このマウスピース矯正はワイヤー矯正に比べて痛みが少なく、口腔内スキャナーで手軽に作製できるため、一般歯科でも広く採用されています。
しかし実際には、患者さんの歯並びは千差万別で、治療計画となる歯の動かし方はすべて異なります。
だからこそ問診、患者さんとのコミュニケーション、適切な治療計画と調整が非常に重要となってきます。
ネット上では、「安く早い」「簡単に歯が動く」「歯を抜く場合は向かない」「治りにくい」などの様々な情報を目にしますが、実際にはどこまで治していくのか、歯の状態、ドクターの経験値によって変わってきますので、矯正を検討されている方は矯正を専門的にやられているドクターや、矯正医が常勤されているクリニックへ相談されることをお勧めします。
安易に始めてしまうと、ドクターを変えたくなった場合に引き継いで行うのが難しいのが矯正治療だからです。結果的に治療費用も余計にかかってしまうことがよくあります。
日本においても歯や歯並びに対する意識の高まりは目覚ましいものがありますが、未だアメリカの方が、意識・最新技術ともにレベルが高いのが現状です。
当院では日本のみならず海外からの高水準な技術を安全に導入し、日本の歯科学の発展に貢献し、患者の治療に活かしたいと考えています。

・東京歯科大学卒業
・東京歯科大学大学院歯学研究科(歯科矯正学専攻)修了
・歯学博士(Ph.D)受領
・東京歯科大学病院助手(歯科矯正学講座)
・University of Illinois(USA)の矯正学教室に在籍
・日本矯正歯科学会認定医取得
①日本矯正歯科学会会員 ②東京矯正歯科学会会員 ③日本口蓋裂学会会員 ④Member of World Federation of Orthodontists(世界矯正歯科医連盟)⑤Member of American Association of Orthodontists(アメリカ矯正歯科学会) ⑥Member of American Cleft Palate – Craniofacial Association ⑦Member of American Academy of Cosmetic Dentistry
安いクリニックには "ワケ" がある!?

マウスピース矯正治療「実質無料」モニタートラブルが社会問題化しております。
極端に安いクリニックもあるようですが、実際のマウスピース矯正は治療経験と知識がとても重要となります。
マウスピースを製造する会社に撮影したデータをそのまま送り、たくさんのマウスピースを作製してそれをそのまま装着しても、思うように矯正されないことは容易に想像できます。微調整を加えたマウスピースでも、それが根拠に基づく計画の上でなければ、実際の歯の動きがどのようになるか想像できず、思うように矯正されないのです。
肝心なのは "根拠" に基づく治療!!

当院では、【高い技術力を持つドクターが科学的根拠に基づく治療】を行っております。
経験に基づき、歯がどのような方向に動いて最終地点に辿り着くのか、それが実現性のあるものなのかを、マウスピース1つ1つの動きをcheckし、当クリニックにおける治療計画とすり合わせをします。数回に渡りマウスピース作製するプログラマーとやり取りをした上で、マウスピースの作成過程にようやく辿り着くのです。
それが結果に大きな影響を及ぼすことは、簡単に想像できることと思います。
また綿密な計画を立てたとしても、人によって反応や効果は様々で、計画通りにならないこともあります。だからこそ専門医が常勤しているクリニックでの治療が安心だと思います。
せっかく治療するのですから、治療症例が豊富な専門医が常勤しているクリニックを選び、安心して治療を終えられることをお勧めします。
35万円〜60万円
※税込み価格
80万円〜105万円
※税込み価格
※精密検査及び診断料:42,000円(税込)
※診察・調整管理料:5,500円/月(税込)
※分割払い(無利子)可能
※受付窓口へ直接お持ち頂くか、銀行のお振込みをお願い致しております。
※クレジットカード決済は対応しておりません。
矯正治療は医療費控除の対象となります。
医療費控除とは家計を共にする家族が支払った医療費が年間10万円以上になった場合、その年の所得から差し引くことができる制度です。医療費控除の対象金額に応じて所得税を軽減できます。対象は実際に支払った医療費の合計額から保険等で補填された金額を差し引いてそこから10万円を引いた金額となります。
医療費控除を受けるには、確定申告が必要です。
STEP
01
STEP
02
STEP
03
STEP
04
STEP
05
STEP
06
※何かあった時は、LINEや当院アプリで状況確認しています。
※矯正治療の副作用並びにリスクについてはこちらのページをご覧ください。
一般歯科、または矯正専門でインビザライン治療をされているクリニックの初診で、治療結果を予測した写真や動画をお見せすることが多いようですが、現在当院ではこのシステムを導入し検証した結果、初診で3Dシュミレーションをお見せして治療の決断を促すようなことは行っておりません。
AIにおけるシュミレーションはあくまで簡易的なものです。
実際にはレントゲンで歯の根の状態・角度などをみた上でないと、正確な診断が行えません。
当院は2,000件以上の実績を持ち
矯正認定医が常駐する
矯正専門クリニックです
他院とは異なり、初診相談の為の問診(質問)を多く設定しておりますが、患者さんひとりひとりに合わせた診察ができるようにするためです。面倒に感じられるかとは思いますが、できるだけ細かくご回答をお願い致します。
使用しない時は専用ケースに入れ、適切に保管する必要があります。
装着時間は1日20時間と、食べる時間、歯ブラシする時間以外使用!
当院はお客様ひとりひとりに最適な治療プランをオリジナルでご用意いたしております。
今までのワイヤー矯正法は細かな調整が必要で、ワイヤーを調整する技術や交換時期、装置を歯につける技術が正確ではないと治療が的確に行えません。それがマウスピース型矯正装置の登場により、マウスピースの交換により治療が可能となると、歯科医師なら誰でも簡単に導入し矯正治療を始めるクリニックが増えました。簡単に始められるのですが、実際はそんなに簡単でないケースも見受けられます。少なくとも、矯正学の基本を理解されていない医師による矯正は、大きなリスクを抱えることでしょう。
Check!!
Q
&
マウスピース矯正に限らず、すべての矯正装置を使用するに当たり、できるだけ歯を抜かないことが今井矯正歯科クリニックの矯正治療の基本方針です。ただし、歯並びによってはどうしても抜歯の必要がある場合もあります。その場合には、なぜ抜歯が必要とされるのかの説明及び抜歯しなかった場合のデメリットも詳しくご説明し、同意頂いてから治療の開始となります。
以前まではマウスピースの素材などが異なっておりましたので治療期間が長く設定されていたりや噛み合わせによっては適応されませんでした。
現在ワイヤー矯正と比較した場合、あまり変わりません。最近では逆にマウスピース矯正治療の方が早く終了するケースもあります。また今ではオプションの装置(Wire)を併用することで、むしろワイヤー矯正よりも早く治療を終了することができます。
装着した最初の数日間は、舌足らずな発音になることがあります。しかしほとんどの方がマウスピースをつけた当日から日常生活に支障なく会話することができます。また、歯をかみ合わせた時にマウスピースの厚みが気になるという方もいらっしゃいますが、これも数日で慣れてきます。ワイヤー矯正の方が違和感が強い傾向がありますし、ある程度の違和感はどのような装置でも始めはあるかと思います。
装着時間が短かったりや適切な使用方法、定期的なアポイントを守って頂ける環境がない場合は計画通りに治療を進行することが困難になります。 またもし他の理由で一部だけ動きがよくない場合については、一時的および部分的にワイヤー矯正などを用いてフォローしていきます。
可能ですので詳しくは一度ご相談下さい。
最初にお支払い頂く装置作製費用等の返金は行えませんが、残りの費用に関しましたは治療度合いを考慮しご返金致します。
遠方からも大勢の方がいらっしゃいます。千葉県内ですと君津、袖ヶ浦 富津、市原エリアの方も多く、県外でしたら東京、神奈川、北海道、奈良、京都から通院されている患者様もおられます。海外ではニュージーランド、カナダ、アメリカ等で、その場合にはリモート診療で対応しております。
当院は2,000件以上の実績を持ち
矯正認定医が常駐する
矯正専門クリニックです
他院とは異なり、初診相談の為の問診(質問)を多く設定しておりますが、患者さんひとりひとりに合わせた診察ができるようにするためです。面倒に感じられるかとは思いますが、できるだけ細かくご回答をお願い致します。
Imai Orthodontic Clinic
院長
今井 利明
所在地
〒292-0038
千葉県木更津市ほたる野1-20-4
電話番号
アクセス
JR木更津駅 車で15分
駐車場
敷地内に13台駐車可能
